Diagnóstico

TRATAMIENTOS A MEDIDA

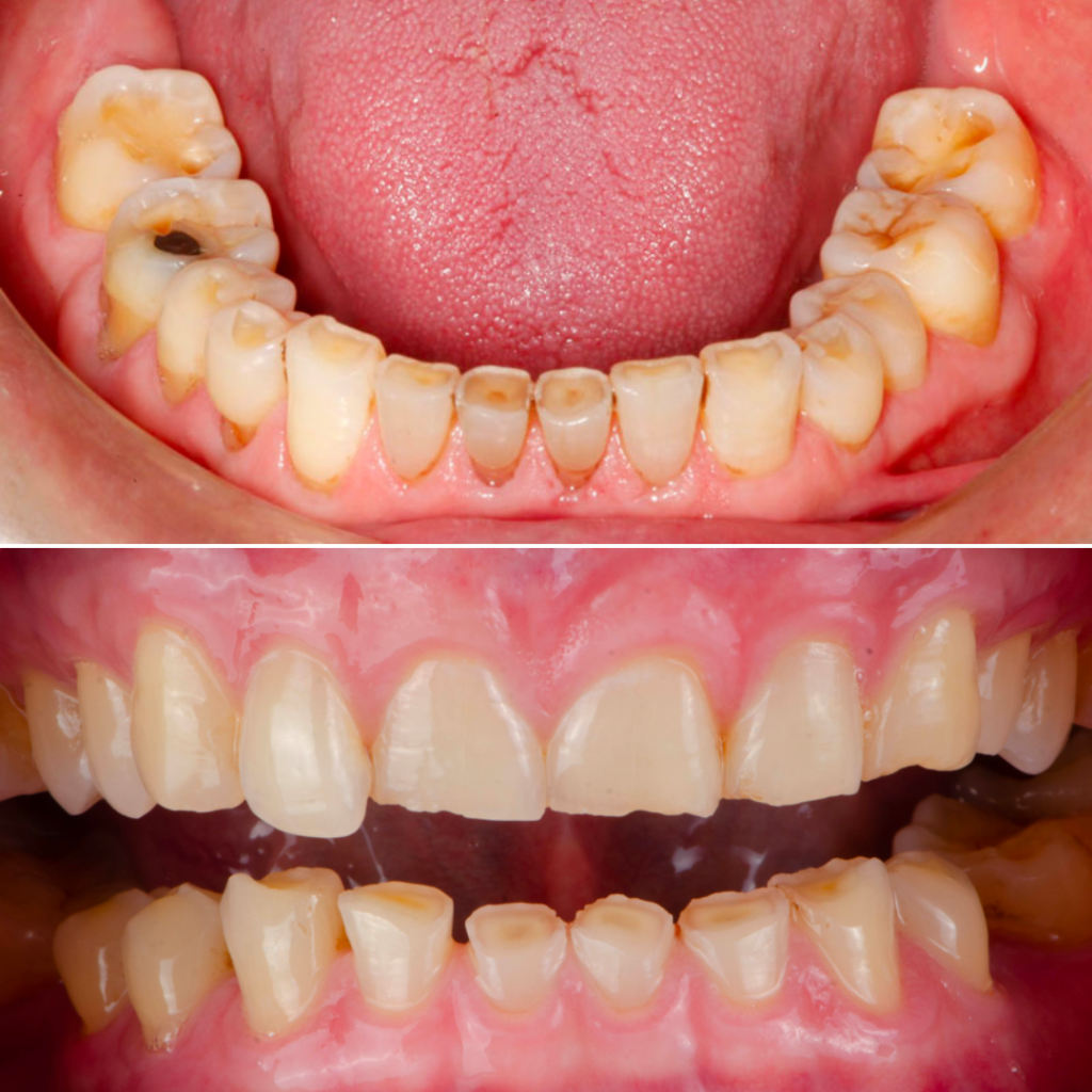
La mayoría de las personas no saben que están rechinando o apretando los dientes. Hay varios signos reveladores. Dolor o sensibilidad en la mandíbula, dolores de cabeza, dolor de oídos, dolor de cuello y dolores en los músculos faciales, son signos comunes del bruxismo moderado o severo.

Otras personas pueden notar que sus dientes se han vuelto más sensibles con el tiempo, o que sus dientes se ven planos o desgastados. Otros signos físicos son el aumento de la sensibilidad de los dientes a los alimentos o bebidas calientes o frías, y los empastes sueltos o rotos.

El odontólogo o higienista dental es el primero, que al ver el desgaste de sus dientes, le informa que usted padece de bruxismo.

Otros signos son: dolores en los músculos faciales, dolores de cabeza, de cuello y de oído.

  • Rapidez en el diagnóstico: Detectar el bruxismo a tiempo es crucial para corregir la afección y prevenir daños adicionales.
  • Mejora de la salud: Un diagnóstico precoz y el tratamiento adecuado pueden mejorar significativamente la salud dental del paciente.
  • Prevención: El tratamiento del bruxismo evita problemas mayores como el desgaste de los dientes y otras complicaciones bucodentales.