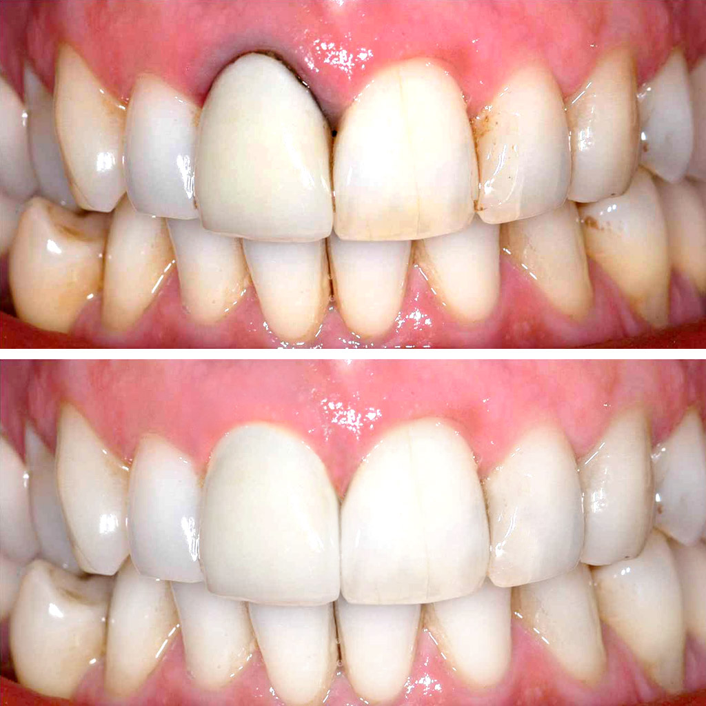
Coronas dentales de Zirconio

TRATAMIENTOS A MEDIDA

Las coronas de zirconio son una solución dental eficiente y estética para reemplazar o reforzar dientes dañados o debilitados. Este material destaca por su resistencia, durabilidad y excelente apariencia natural. Características:
  • Durabilidad: El zirconio es extremadamente robusto, lo que prolonga la vida útil de las coronas y reduce el desgaste.
  • Estética superior: Las coronas de zirconio imitan a la perfección el aspecto de los dientes naturales, haciéndolas casi imperceptibles.
  • Mejor tolerancia: Son ligeras y mejor aceptadas por las encías, con menor riesgo de alergias en comparación con coronas metálicas.
  • Versatilidad: Se utilizan en implantes y fundas, ofreciendo resultados satisfactorios y ayudando a mejorar la funcionalidad y la estética dental.
Comparativas:
  • Frente a otras coronas: Las coronas de porcelana e.max también son altamente estéticas, mientras que las metálicas, aunque resistentes, no ofrecen la misma discreción visual.
  • Alternativas económicas: Las coronas de metal/porcelana son más económicas pero menos estéticas y más voluminosas que las de zirconio.
Aplicaciones: Son frecuentemente utilizadas en tratamientos estéticos para mejorar la apariencia dental, ya que se asemejan mucho a los dientes naturales, proporcionando seguridad y confianza en las relaciones sociales.

metal-porcelana

zirconio